Fixed Teeth Replacements
What Are Crowns? 
A crown is a restoration that covers, or "caps," a tooth to restore it to its normal shape and size, strengthening and improving the appearance of a tooth. Prosthetic crowns are made of metal, porcelain fused to metal substrates, or new all-white restorative materials. Crowns are necessary when a tooth is generally broken down and fillings won't solve the problem. If a tooth is cracked, a crown holds the tooth together to seal the cracks so the damage doesn't get worse. Crowns are also used to support a large filling when there isn't enough of the tooth remaining, attach a bridge, protect weak teeth from fracturing, restore fractured teeth,cover badly shaped or discolored teeth or protect a root-canal filled tooth with compromised strength.

How is a crown placed?
The tooth is numbed and prepared for the crown by removing any decay or weakened areas. The remaining tooth structure is then reshaped to meet proper crown preparation design. If necessary, a restorative material, usually a composite resin, is added to the remaining tooth structure to ensure that the prosthetic crown will have a good foundation. This procedure is called a "build-up." After the tooth is prepared, an impression of teeth and gums is made and sent to the lab for the crown fabrication. On the next visit, the dentist cements the permanent crown onto the tooth.During the second appointment,the new crown is placed on the tooth. Adjustments may be required to exact the perfect fit, so that the crown will feel comfortable in the mouth and will conform to the bite. When the crown fits seamlessly and contacts the neighboring teeth correctly, the crown is cemented on the tooth.

Will it look natural?
Yes. The dentist's main goal is to create crowns that look like natural teeth. That is why dentists take an impression. To achieve a certain look, a number of factors are considered, such as the color, bite, shape, and length of your natural teeth. Any one of these factors alone can affect your appearance.If you have a certain cosmetic look in mind for your crown, discuss it with your dentist at your initial visit. When the procedure is complete, your teeth will not only be stronger, but they may be more attractive.

What is the difference between a cap and a crown?
There is no difference between a cap and a crown.

How long do crowns last? 
Crowns should last approximately 5-8 years. However, with good oral hygiene and supervision most crowns will last for a much longer period of time. Some damaging habits like grinding your teeth, chewing ice, or fingernail biting may cause this period of time to decrease significantly.

How should I take care of my crowns?
To prevent damaging or fracturing the crowns, avoid chewing hard foods, ice or other hard objects. You also want to avoid teeth grinding. Besides visiting your dentist and brushing twice a day, cleaning between your teeth is vital with crowns. Floss or interdental cleaners (specially shaped brushes and sticks) are important tools to remove plaque from the crown area where the gum meets the tooth. Plaque in that area can cause dental decay and gum disease.Regularly scheduled examinations and hygiene appointments must be adhered to, or the same bacterial assault which causes decay and makes dental care necessary may cause the restorations to fail.

A typical molar crown A ceramic crown A gold crown
Img6 Img7 Img8
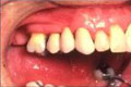
Before crowns After Crowns
Img9 Img10
Gaps before crowns Closed with crowns
Img11 Img12
The "bridge" prior to placement. The "bridge" in the mouth
Img13 Img14
A typical bridge A Ceramic bridge
Img15 Img16

Bridges - Frequently Asked Questions

What is a bridge?
A bridge is a dental appliance that replaces one or more natural missing teeth,thereby "bridging" the space between two teeth.Bridges are cemented into place on the "abutment" teeth--the surrounding teeth on either side of the space or span. Unlike removable partial dentures,bridges cannot be taken out of the mouth by the patient.
A bridge is a device that typically consists of three units-a pontic (a false tooth) fused between two crowns that are cemented onto the abutment teeth.

Who should get a bridge?

A person with missing teeth and committed to maintaining good oral hygiene practices,is a good candidate for a bridge. A bridge is the most natural choice to fill the space in the mouth left by missing teeth. If left unfilled, this space can cause the surrounding teeth to drift out of position and can cause teeth and gums to become more susceptible to tooth decay and gum disease that can cause further tooth loss. Bridges not only correct an altered bite, improve the chewing ability and speech, but they also safeguard the appearance by preventing the collapse of facial features that can cause premature wrinkles and age lines.

What type of bridges are there?
Besides traditional bridges, another popular design is the resin bonded or "Maryland" bridge, primarily used for the front teeth. This is usually the most economical choice when the abutment teeth are healthy and don't contain large fillings. The pontic is fused to metal bands that can be bonded to the abutment teeth with a resin cement and hidden from view, reducing the amount of preparation on the adjacent teeth.

A cantilever bridge may be used if there are teeth on only one side of the span. This involves anchoring the pontic to one side over one or more natural, adjacent teeth. If there are no adjacent teeth to act as anchors,an implant is recommended--a metal post that is surgically embedded into the bone and capped with a crown as an abutment. In some cases where the span is large, a removable partial denture is recommended or even an implant-supported prosthesis.

How do I care for a bridge? 
With a bridge, it is more important than ever to brush, floss and see the dentist regularly. If buildup of food debris and plaque -the sticky film of bacteria formed from food acids-is not controlled, the teeth and gums can become infected, requiring further treatment and resulting in possible loss of the bridge.We recommend using floss threaders that help remove bacteria from hard to reach spaces between the bridge and adjacent teeth and gums. Crowns on the bridge cover most of the exposed portion of your tooth and decay does not affect a bridge since it is made of metal and /or porcelain. However, where the natural tooth meets the crown of the bridge can become decayed. If optimal oral hygiene care is maintained,a bridge can last for many years.

Suggestions and precautions 
Adjustment period: It is ok for the bridge to feel a little out of place for a few days after cementing. This is because the teeth around this area are adjusting to new forces both in between the teeth and upon biting.

Preventive Procedures: To provide optimum longevity for your restorations and to prevent future decay and supporting-tissue breakdown, please use the following home care tips:

Brush after eating and before bedtime around the bridge with a soft toothbrush, especially where the crown or bridge meets the gum line (margin). At this margin area harmful bacteria can be harbored to cause decay and gum disease. An electric toothbrush is highly recommended over manual to help you keep this area clean
Floss at least once to twice a day. Use the proxy brush, floss threader or automatic flosser to remove plaque under and around these areas to maintain good oral hygiene. On a bridge you must clean “under” as well as around the bridge. If you do not control the buildup of food debris and plaque your teeth and gums can become infected.

Water Pik™ can be used with an antibacterial, alcohol free mouthwash at the gum line and under the bridge to keep this area healthy

Fluoride rinse is to be used before bed. Swish the fluoride rinse vigorously in your mouth for at least one minute. Do not swallow any of the rinse and do not eat or drink anything for 30 minutes.

Use a proxybrush (interdental brush) to clean around the area after each meal

Chewing: Do not chew hard foods on the restorations for 24 hours from the time they were cemented — to attain optimum strength, the cement must mature for approximately 24 hours Also avoid eating or chewing on hard objects, food or ice

Limit snacks, if high in sugar brush this area or swish with water

Sensitivity: Do not worry about mild sensitivity to hot or cold foods. This sensitivity will disappear gradually over a few weeks. Infrequently, sensitivity last longer than six weeks.

Recare: Inadequate return for examination is the most significant reason for prostheses failure. Visit us at regular six-month examination periods. Often problems that are developing around the restorations can be found at an early stage where they can be corrected easily and will be more affordable. Waiting for a longer time may require re-doing the entire restoration. 

Problems: Call us immediately if any one of these conditions occurs: If the tooth is the first tooth to hit when you bite down after a couple of days, contact us for an adjustment; a feeling of movement or looseness in the restoration; sensitivity to sweet foods; a peculiar taste from the restoration site; breakage of a piece of material from the restoration or sensitivity to pressure.

The Procera® system
The secret behind Procera All Ceram is its unique combination of strength and beauty. Over the last few years, new technology has made dental porcelain more practical.

The Nobel Biocare Procera® is a system developed for manufacturing of individualized dental restorations. Utilizing the latest scanning, CAD/CAM and manufacturing technologies, high accuracy and a perfect precision of fit is ensured. By combining the Procera® manufacturing technology with the use of alumina and zirconia ceramics, which are biocompatible materials with good mechanical properties.

Since the introduction in 1991, more than 7 million Procera® ceramic crowns have been produced.

 

Img17
Procera® Crowns, Bridges and Laminates

The Procera® Crown Alumina was introduced in 1991, and clinical long-term studies have shown cumulative success rates of 98 % after 5 years and 92 % after 10 years in function 

The Procera® Crown Zirconia was introduced in 2001, and in 2004 the Procera® Bridge Zirconia was launched. Zirconia has a flexural strength and fracture toughness almost twice as high as that of alumina, which makes zirconia very resistant to masticatory forces, still with maintained exact precision of fit The Procera® Bridge Zirconia is available in up to 14 units.

Procera® Laminates are thin (0.25-0.40 mm) alumina shells, used for patients with discolored anterior teeth, providing possibilities for excellent esthetics 70, 71.

 

Img18

REGISTER @ HOME PAGE TO POST COMMENTS.

Drpillai Contact

Log

 

Drpil

Facebook Icon
Facebook Icon

Monday the 20th.
Google+ Google+ Google+